全讯网-皇冠网_百家乐网_全讯网娱乐 (中国)·官方网站

北理工課題組在胰腺炎治療藥物的研究中取得重要進展


6295bd1b8b2048c69fb6f9d3c7b5673b.png

2024年10月5日,北京理工大學化學與化工學院醫藥分子科學與制劑工程工信部重點實驗室梁建華教授課題組在胰腺炎治療藥物的研究中取得了重要進展。課題組通過“骨架躍遷策略”設計并合成了苯基咪唑、吲哚、苯基喹啉類的新型可溶性環氧化物水解酶(sEH)抑制劑,并優選苯基喹啉骨架用于小鼠足腫脹、鎮痛和急性胰腺炎的治療研究。其中,最優化合物68(DJ-53)能夠抑制胰腺和肝臟組織中sEH的活性,進而提高水解底物即抗炎性因子-環氧二十碳三烯酸(EET)的水平,降低水解產物即促炎性因子-二羥基二十碳三烯酸(DHET)的水平,在小鼠體內表現出優于同類化合物的抗炎鎮痛療效,具有較高的生物利用度和安全性,這一研究為臨床尚未有治療藥物的急性胰腺炎的治療提供了新的思路和潛在的臨床前候選藥物。相關成果發表以Discovery of Orally Active Phenylquinoline-based Soluble Epoxide Hydrolase Inhibitors with Anti-inflammatory and Analgesic Activity為題發表于藥物化學頂級期刊Journal of Medicinal Chemistry。(文章鏈接: https://pubs.acs.org/doi/10.1021/acs.jmedchem.4c01766 )。

急性胰腺炎是一種與胰腺外分泌組織損傷密切相關的炎癥性疾病。臨床數據顯示,5.7%的胰腺癌是以急性胰腺炎為首發癥狀,有急性胰腺炎病史的,患有胰腺癌的風險增加7.2倍。其特點是發病突然、癥狀嚴重、預后不良。目前,臨床上仍然缺乏針對胰腺炎的特效藥物或療法。已有研究表明,幾種基于金剛烷骨架結構的sEH抑制劑能夠減輕小鼠胰腺損傷,但這些藥物仍面臨諸多挑戰,報道的優選化合物多數具有血藥濃度低的缺點或者對CYP酶和hERG通道存在潛在抑制作用等缺陷。抑制CYP酶和hERG通道存在導致藥物-藥物相互作用以及心臟安全性等問題而增加臨床使用的風險,另外抑制CYP2C酶還會抑制抗炎因子EET的生成。

我們基于前期發現的二苯乙烯骨架化合物WS-82(Discovery of a novel lead characterized by a stilbene-extended scaffold against sepsis as soluble epoxide hydrolase inhibitors.  European Journal of Medicinal Chemistry , 2024, 266, 116113. DOI:10.1016/j.ejmech.2023.116113),通過骨架躍遷優化策略,設計了多種以苯基喹啉、苯基吲哚和苯基苯并咪唑為核心框架的sEH抑制劑。與目前臨床唯一在研的sEH抑制劑即臨床候選藥物EC5026相比,苯基喹啉類新骨架衍生物表現出更優異的效力。其中,一種新型苯基喹啉化合物68 (實驗室編號DJ-53)通過抑制組織中的sEH酶活性,提升血漿和胰腺中EET/DHET比例,在足腫脹和醋酸扭體實驗中顯示出顯著的抗炎和鎮痛活性,其療效不僅與上市的COX酶抑制劑-塞來昔布相當,還優于EC5026。此外,在急性胰腺炎模型中,化合物68能夠有效減輕小鼠胰腺水腫和炎癥浸潤,并降低血漿中腫瘤壞死因子-α和白細胞介素-6等炎癥介質的水平,抑制潛在的全身炎癥風暴的發生,防止胰腺炎的惡化。

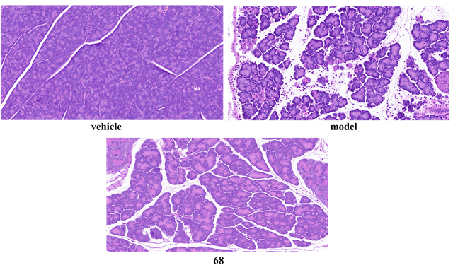
a27ee765a86744f0895e44f9d26c6ba2.png

圖1 68 (實驗室編號DJ-53) 對急性胰腺炎小鼠的治療效果

分子對接與動力學研究表明,化合物68位于sEH蛋白的活性口袋中,并與關鍵氨基酸Asp335、Tyr383和Tyr466形成了強烈的相互作用,從而穩定了sEH蛋白的結構。分子作用力分析結果強調了喹啉環和三氟甲氧基芐基脲基團對sEH抑制活性的重要貢獻,這與新型苯基喹啉類sEH骨架的構效關系研究結果一致。

4d93fe48688c4fb7bea25e40c6d6e23e.png

圖2 化合物68(DJ-53)與sEH結合模式

苯基喹啉化合物68通過靶向sEH酶展現出快速起效、持續療效及多重抗炎鎮痛特性。此外,其良好的安全性和組織分布以及藥代動力學特性進一步彰顯了其在臨床應用中的發展潛力??傊?,基于苯基喹啉的化合物68的開發,標志著在針對sEH介導途徑的新型治療領域中邁出了重要一步,本研究已經申請專利,具有進一步臨床開發的價值。

本研究受到科技創新2030-腦科學與類腦研究重大項目、國家自然科學基金面上項目資助。


附作者簡介:

丁靜,第一作者,北京理工大學化學與化工學院博士生。

梁建華,通訊作者,北京理工大學化學與化工學院教授,醫藥分子科學與制劑工程工信部重點實驗室副主任,研究興趣為重大疾病相關的新藥創制;朱心紅,國家杰青,琶洲實驗室腦疾病與健康研究中心主任,研究興趣為精神疾病發病機制和干預;于明加,北京理工大學化學與化工學院預聘助理教授,研究興趣為藥物的智能設計。



分享到:

百家乐桌子北京| 百家乐博娱乐网| 至尊百家乐官网娱乐场开户注册| 百家乐园| 四方百家乐官网的玩法技巧和规则| 大发888娱乐场 17| 做生意进门风水| 北宁市| 搓牌百家乐技巧| 百家乐官网电子路单下载| 百家乐冼牌机| 将军百家乐官网的玩法技巧和规则 | 荆州市| 澳门百家乐娱乐平台| 网上百家乐官网有人赢过吗| 大发888代充平台| 做生意门口怎么摆放| 百家乐官网怎么样投注| 防伪百家乐筹码币套装| 百家乐官网管家| 优博百家乐官网现金网| 大发888娱乐城官方| 百家乐官网平玩法这样| 百家乐官网庄闲的分布| 大发888有哪些| 真人百家乐软件云南景| 阴宅风水24山分金| 百家乐官网如何洗吗| 鸿博娱乐城| 威尼斯人娱乐场55556| 网络百家乐破解平台| 巴西百家乐官网的玩法技巧和规则 | 网络百家乐官网赌博赢钱| 杭州太阳城假日酒店| 百家乐白菜价| 百家乐官网如何洗吗| 百家乐官网玩法百科| 88娱乐城备用| 大发888娱乐城大发888达法8| 威尼斯人娱乐网网址| 免费玩百家乐的玩法技巧和规则 |